男子火车上铺跌落砸断10岁女孩腿骨,回应“失联”称失业讨薪中

Connor 欧意交易所 2025-10-06 3 0

近日,朱女士发帖讲述女儿在火车上被上铺男子砸伤的经历。她今年8月带着孩子乘坐火车时,一名男乘客从上铺摔落,砸到了睡在下铺的孩子的大腿,导致孩子股骨骨折。这名男乘客虽然陪同她们去了医院,但孩子做完手术后,对方表示手头没钱,要回去筹钱。

9月上旬,男子最后接了一次朱女士的电话,随后朱女士再也无法联系到对方。

男子火车上铺跌落砸断10岁女孩腿骨,回应“失联”称失业讨薪中

▲朱女士的女儿在救护车上 受访者供图

列车上铺乘客跌落

砸断下铺10岁孩子腿骨

9月30日,朱女士告诉记者,8月24日,她带着10岁的女儿乘坐列车前往杭州,她和孩子都睡在下铺。大约凌晨1点,火车即将停靠无锡站,睡梦中的朱女士突然被女儿的哭声惊醒,她看到旁边站着一名身材高大的男乘客。女儿哭得撕心裂肺,一直喊腿疼。孩子哭声很大,列车工作人员闻讯赶来后,帮朱女士联系了警方和救护车。火车停靠后,朱女士和这名男乘客一起搭乘救护车前往无锡的医院检查。

朱女士称,根据这名男乘客的讲述,火车快到无锡站时,他准备下车。从上铺下来后,他想起还有一副眼镜忘在了铺位上,于是又爬回床铺。这时候,车晃动了一下,他的手没抓稳,跌下来砸到了女孩。

朱女士向记者出示的医院病历显示,8月24日凌晨,朱女士的女儿到医院就诊。医院诊断朱女士的女儿右股骨骨折,需要住院进一步治疗。

男子火车上铺跌落砸断10岁女孩腿骨,回应“失联”称失业讨薪中

展开全文

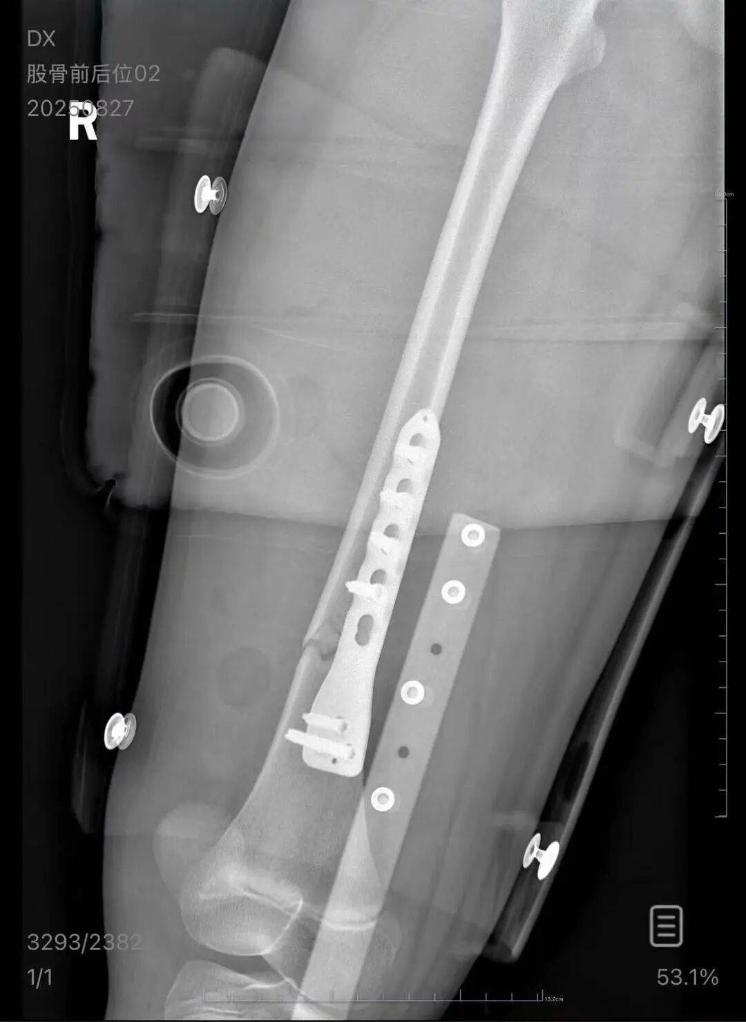
▲朱女士女儿手术后拍的X光片 受访者供图

朱女士出示的报警回执显示,8月24日凌晨2点22分,上海铁路公安处无锡站派出所接到报案。报案人称,在某列车上,快要到无锡站时,上铺的乘客下床时没抓稳,导致孩子大腿骨折。

女孩母亲:

男乘客陪同就医后失联

朱女士说,起初,男乘客态度不错,陪同着母女二人到医院治疗,垫付了住院押金,为孩子买了一些护理用品。但女儿做完手术后的第二天,男乘客给朱女士发了一条信息,说他要回去筹钱。男乘客离开后,朱女士每天都会联系对方,但他几乎没有回应。大约9月上旬,男乘客接了一次电话,让朱女士把医疗票据发给他,从那之后,男乘客再也不接电话,也不回消息了。

朱女士告诉记者,女儿爱好游泳,事发前腿部没有受过伤。如今,女儿吃饭、上厕所、学习都只能平躺在床上,情绪低沉。后续的康复治疗是一个漫长的过程,不确定是否会有后遗症。她表示,她知道男乘客不是有意的,并非不能谅解对方。但如今对方既不接电话,也不回微信,这让朱女士很生气。目前,她准备通过法律途径维权。

10月4日,无锡站相关工作人员向记者表示,据其了解,朱女士的女儿确实受伤了,车站工作人员为朱女士提供了协助。10月4日,上海铁路公安处无锡站派出所告诉记者,事发当天确有接到朱女士报案,具体情况不便接受采访。同日,记者拨打当事男乘客的电话,对方未接听。

男子火车上铺跌落砸断10岁女孩腿骨,回应“失联”称失业讨薪中

▲朱女士女儿的门诊病历 受访者供图

男乘客回应:

失业讨薪中,“暂时拿不出钱”

10月5日,媒体记者联系到当事男乘客,其表示,自己确实从火车上铺跌落砸到了女孩。他称,那天他乘火车是因为失业了要回家,火车到站后他的眼镜掉落,他去拿眼镜时火车突然一顿,他整个人就掉了下来,而当时女孩的腿正好伸在外面,所以他压到了对方。

该男乘客说,自己并非不愿意赔偿,而是他现在暂时拿不出钱。“我失业了才回家找工作,家里还有贷款,之前工作的工资也还没要回来,如果要回来了,我马上给她钱,将来一下子全部清算都可以。”

他表示,自己之前是做机修工作的,上周也去厂里等了好几天,希望能拿到钱。“我的电话号码和身份证号都告诉了对方,砸到人是我没注意,我不是要逃避什么东西,我要是真要逃,就换手机号了。”

至于为什么不回朱女士电话和微信,该男乘客称,自己知道对方是来要钱的,“我知道她的意思,但我暂时真的拿不出来。”他表示,自己也很着急,问题是他现在拿不出来钱。如果对方找律师起诉,“把各种费用摊开了,我这边可以赔给她。”

对于该名男乘客的说辞,朱女士表示自己已经委托了律师,会通过法律途径维权。“孩子受了伤,这么严重的骨折,他从医院里走掉后,也没来关心、问候一下孩子,现在就这样来解释。”

女孩母亲:

没有经济来源

孩子还可能留下后遗症

朱女士称,自己是离异状态,为了照顾小孩请假在家,也没有经济来源。“现在孩子的医药费用已经花了5万多,后期还要进行康复治疗,我的压力非常大。”“医生说孩子还小,恢复快,钢板固定后很难恢复如初,甚至可能会出现长短腿的现象。”

她说:“我宁愿多花些钱把孩子的腿治好,不要留后遗症,如果因此落下残疾,我会内疚、悔恨一辈子。”

网友:

都是苦命人,

铁路能担责吗?

此事迅速引发广泛关注,网友们对当事人表示关心的同时,也对责任归属、赔偿方案等现实难题展开热议:

男子火车上铺跌落砸断10岁女孩腿骨,回应“失联”称失业讨薪中

男子火车上铺跌落砸断10岁女孩腿骨,回应“失联”称失业讨薪中

律师分析:

行驶过程中若异常晃动,

铁路需担责

男子火车上铺跌落砸断10岁女孩腿骨,回应“失联”称失业讨薪中

新民晚报综合红星新闻、九派新闻等

评论